




詳しくはこちら
どのような状態であっても
理想の歯に仕上げます。


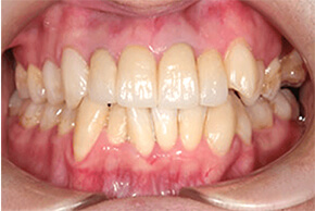
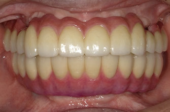
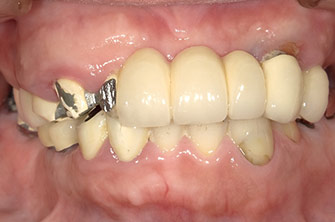
包括的治療をしたケース。治療期間は6カ月前後。治療後のメンテナンスをしないと歯周病等のリスクがあります。


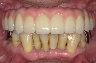
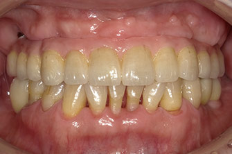
包括的治療をしたケース。治療期間は6カ月前後。治療後のメンテナンスをしないと歯周病等のリスクがあります。


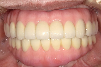
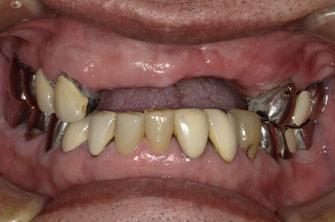
包括的治療をしたケース。治療期間は6カ月前後。治療後のメンテナンスをしないと歯周病等のリスクがあります。


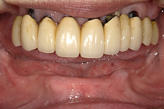
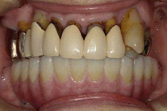
包括的治療をしたケース。治療期間は6カ月前後。治療後のメンテナンスをしないと歯周病等のリスクがあります。


包括的治療をしたケース。治療期間は6カ月前後。治療後のメンテナンスをしないと歯周病等のリスクがあります。


包括的治療をしたケース。治療期間は6カ月前後。治療後のメンテナンスをしないと歯周病等のリスクがあります。


包括的治療をしたケース。治療期間は6カ月前後。治療後のメンテナンスをしないと歯周病等のリスクがあります。


包括的治療をしたケース。治療期間は6カ月前後。治療後のメンテナンスをしないと歯周病等のリスクがあります。


叢生を矯正治療で整えたケース。治療期間は1年半。保定装置をつけないと後戻りするリスクがあります。

無駄を排除し、患者さんの負担を最小限にします。
すべてを理解しているからこそできる対応です。
レントゲンや各種模型等も利用し、納得されるまで何度でもご説明します。
個室のカウンセルングルーム、個室の診療室をご用意しています。
詳しくはこちら
お口の状態はどのような感じですか?

治療前の処置と治療後のケアをしなければ、昔のような状態に戻ってしまう可能性があります。
それを防ぐための体制が当院には整っています。
虫歯や歯周病の状態のままで治療を開始すると「治療後に再発」する可能性が高まります。
治療後、良い状態を維持していただくため、当院では初期治療に「一定の時間」をかけます。その点、事前にご了承ください。
ケアのプロフェッショナルである歯科衛生士による定期メンテナンスを実施します。
「担当制」で対応しておりますので、患者さんの状態をしっかり把握しながらメンテナンスをすることができます。
歯のお悩み、何でもお伝えください。
しっかりお時間をとり、お話を伺います。
相談の際に、1つお約束してください。
表面的なお話ではなく、あなたが本当はどうしたいのか、どうして欲しいのか、
どうなりたいのか。
これを私たちにしっかり伝えて欲しい。
歯科医療は、患者さんの「こうしたい」からすべてが始まります。
詳しくはこちら
受付
カウンセリングルーム
診療室
パウダールーム
待合室